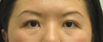
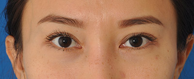
Eyelid Surgery Gallery Patient 12

Procedure Details:
21 year old who had a prior double eyelid surgery elsewhere. He wanted a deeper fold on his right side. Dr. Kwak recommended that he also undergo ptosis repair on his right to create more symmetry. He underwent a revision double eyelid surgery, ptosis repair, and bilateral epicanthoplasties (below is his 4 month post operative result).























